Zircone, Implantologie et prothèse.
La prothèse tout Zircone continue à progresser, que ce soit en prothèse classique ou pour les implants.
Certains patients se retrouvant souffrir de micro-allergies à certains métaux, doivent éviter le titane et se tourner vers une céramique particulière, la Zircone.
Travaillant depuis plusieurs années avec le Dr Bianca, c'est maintenant une technique maitrisée que nous pouvons offrir aux patients qui sont dans ce cas.
Dés lundi ( 26 Août ) le cabinet retrouvera son rythme habituel, notre secrétaire sera présente pour vous répondre, et nos prothésistes pour vous rendre le sourire ;)
j’espère que vos vacances ont été bonnes et que pour certains chanceux elle se poursuivent encore.
A bientôt.
Dés lundi ( 26 Août ) le cabinet retrouvera son rythme habituel, notre secrétaire sera présente pour vous répondre, et nos prothésistes pour vous rendre le sourire ;)
j’espère que vos vacances ont été bonnes et que pour certains chanceux elle se poursuivent encore.
A bientôt.
Un soir de formation comme j'aime bien les suivre;) Posant depuis longtemps de la prothèse sur implant, il es toujours intéressant de voir ce que nous propose le futur; surtout quand il est déjà là.. Ce soir c'est le Dr. Bianca qui a avancé un pion blanc: l'implant tout en céramique. Intéressant, c'est bien le mot: plus résistant que le titane; pas de joint; moins de risque de péri-implantite; meilleure adaptation gingivale, couronne en Zircone sur implant zircone..... A suivre

Comme chaque année; Marseille en Août se vide de ses dentistes, médecins et autres professionnels de santé.
Comme chaque année je serais ouvert les trois premières semaines puisque je prend mes vacances principalement en hiver. Ma secrétaire - qui le mérite bien - sera elle en vacances et je
serais du coup surement un peu plus difficile a joindre; peut-être vous faudra t il insister au téléphone...et je m'en excuse par avance mais il m'arrive souvent dans ces période d'être
débordé... Le numéro, l'adresse n'ont pas changé; au fil des années j'ai même mes habitués. Un de mes prothésistes étant là, tous les travaux habituels peuvent être effectués...
Mais de vous à moi; ne vous sentez pas obligés : la mer, le soleil; une circulation fluide; des places pour se garer; des soirées qu'on peut faire durer à la fraîcheur...
sachez aussi en profiter ;)
4 jours qui s’enchaînent : une journée sur l'utilisation du Laser Diode en Parodontie Médicale et juste le temps de filer a Lyon pur 3 jours sur la communication patient. Je me demande si
ce n'est pas plus reposant de travailler ;)
Mais comme toujours ce n'est que du plaisir de se former. Bientôt de nouveau Lyon, puis Paris , et une journée à Aix sur la prothèse implantaire...
Chaque année, j'essaye de consacrer au moins 8 à 10 jours à ma post formation :
Pour 2014, il m'a fallu m’éloigner de Marseille, pour suivre un cycle sur les réhabilitations complexe; à Bordeaux dans le cadre d'un cycle Focus Esthétique.
Pour 2015 ce devrait être 2 jours à Bordeaux de nouveau, 2 autres à Biarritz, encore 2 vers Lyon; au moins 2 à Marseille, et l'année commence à peine..... ;)
Le cabinet beneficie maintenant d'une page Google + ce qui permet de rendre plus accessible l'adresse, le plan pour s'y rendre ; les horaires d'ouverture depuis un smartphone, chose qui parfois se révèlent bien utiles, ne serait ce que pour être à l'heure à ses rendez vous ;)
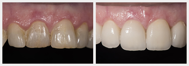
les Ceramo Céramiques ont pour particularité de ne plus être soutenues par une armature métallique; et permettent ainsi un accès à un haut niveau esthétique bien plus facilement. Elles ont aussi pour avantage d'être bien plus bio compatibles; et d'assurer une bien meilleure réponse gingivale. En jouant sur les different types de ces céramiques il est possible de les utiliser dans à peu près toutes les circonstances : Onlays couronnes, bridges, facettes; implants; et même de les mixer pour ne plus avoir a utiliser de métal... Cela permet aussi de continuer à travailler avec nos labos habituels; à Marseille ou Aix, et de leur rendre hommage pour leur goût du travail bien fait.
http://www.idweblogs.com/odf/2014/01/15/quelle-est-linfluence-de-lobstruction-des-vas-voies-aeriennes-superieures-sur-la-croissance-maxillo-faciale-de-lenfant/?utm_source=NL&utm_medium=Mail&utm_campaign=IDWeblog
Si on devait résumer : un enfant qui respire par la bouche; ronfle; a les narines pincées, des cernes; a du mal à se lever ou s'endort en classe, doit être vu par un dentiste pour être
traité et pour pouvoir mieux grandir; mieux respirer, mieux travailler et surtout ne pas subir un traitement plus lourd plus tard.
http://www.thedentalelf.net/2013/12/16/periodontal-treatment-improved-several-biomarkers-of-atherosclerotic-disease/
Pour un certain nombre d'affections à distance, un etat gingival sain, en effondrant une source bacterienne, permet d'ameliorer l'état general.
On le savait déjà pour le diabete ou des affections cardiaques et rénales; cela se precise : un traitement parodontal peut vous offrir bien plus que des gencives saines. Dans le doute,
consultez. Une simple consultation ne coute rien et est remboursée.


Indispensable désormais pour la prise de teinte dentaire : l'image est immediatement transférée au laboratoire par internet grace a une carte memoire Wifi. Le gain de temps est enorme; le bond en qualité immediat. La dent centrale est une ceramoceramique sur base Zircone.
Depuis quelques temps j' ai entrepris une démarche " Bio "; ou en tout cas plus attentive à différentes choses qui vont de recycler du papier à venir à pied au
cabinet;)
la plus importante pour mes patients actuellement est surement l'utilisation de produit plus sécurisé et sans certains perturbateurs comme le Bisphénol A.
Un grand nombre de composites dentaires en contiennent; mais pas tous... et plus le mien. Je ne dois pas être le seul dentiste à Marseille à le faire; et cela ne suffira pas à changer le
monde, mais à tout le moins sachez que c'est possible.
https://www.gceurope.com/products/bpa.php
Lever très matinal et TGV pour aller à Clinic-All afin d’assister à une formation sur la préparation d'un sourire assistée par ordinateur..
Plus reposant le jeudi quand il s'agit d'une nouvelle formation sur les facettes intégrant la partie pratique de la réalisation de ce qui n’était que virtuel
Back to Basics: un gros travail sur la prévention carieuse comme celle des problèmes de gencive; une demi-journée sur la maladie parodontale et son traitement médical; par ultrasons; antiseptiques et laser; et bcp de choses sur le sourire et les réhabilitation de grandes étendues: de la dentisterie comme on devrait apprendre à chaque fois ....

Les horaires seront un peu différents : 9h - 12h et 14H - 18H.30 ; et en l'absence de secrétariat; il faudra un peu insister au Téléphone

Un blog c'est quelque chose qui peut être très sérieux ou pas du tout ;) J’espère qu'au fil des billets qui seront publiés, vous apprendrez certaines choses et que les autres vous feront sourire.
Bonne lecture, et bonne journée.
Un laser diode a pour avantage d'etre polyvalent : utile pour la petite chirurgie avec une meilleure cicatrisation; il sert dans beaucoup de domaines pour une meilleure désinfection, notamment en
parodontie medicale ( gingivites chroniques ), et ameliore la cicatrisation.
Dans certains cas c'est aussi une aide au blanchiment, un apport en biostimulation et parfois même utile pour les soins de racine.
Les dentistes ne sont pas encore des Jedi; mais on y travaille ;)
CENTRE MEDICAL
65-67 Rue Du Rouet
13008 MARSEILLE
Métro : Perier ou Castellane
Parking : Turcat-Méry
Tél : 04 91 78 23 23
Lundi de 9h15 - 12h15 et 14 - 18h
Mardi de 9h15 - 12h15 et 14 - 18h
Mercredi de 9h15 - 12h (fermé le mercredi après-midi)
Jeudi de 9h15 - 12h15 et 14 - 18h
Vendredi de 9h15 - 12h (fermé le mercredi après-midi)